
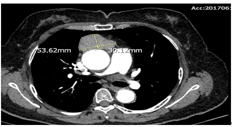
日前,一位56岁女性患者因“颜面部浮肿”就诊于我院心内科,胸部CT检查提示胸腺瘤(图4)转入胸外科,通过“经剑突下胸腔镜全胸腺切除术”,患者恢复良好已出院。
图4
术中操作

胸腺瘤约占成人纵隔肿瘤的20%, 是前上纵隔最常见的肿瘤, 通常生长较缓慢,大部分发生在40岁至70岁之间,很少出现在儿童和年轻人身上。目前胸腺瘤的发病机制仍不明确,因胸腺瘤存在局部外侵、播散、复发和远处转移,这使胸腺瘤在生物学行为上表现为低度或潜在恶性。
因50%-60%的胸腺瘤病人无任何临床症状,所以发现该病往往有三种方式:第一种方式,患者出现重症肌无力症状,行胸部CT检查时发现前纵膈肿瘤,因为胸腺瘤患者有30%到50%会出现重症肌无力症状,而15%的重症肌无力患者合并有胸腺瘤。第二种方式,出现胸闷、胸痛、气短、咳嗽、声音嘶哑、颜面部浮肿、眼睑下垂、流口水等症状时来就诊,此时往往肿瘤较大,侵犯或压迫周围临近重要脏器而出现的临床症状,胸腺位于心脏及大血管前方(如图1)。第三种也是发现该疾病最多的方式,就是因肺部相关疾病行胸部体检时发现前纵膈肿瘤,而患者往往无肿瘤相关的任何症状,这类患者也最不愿意接受手术治疗。而该类患者也往往为早期病变,手术疗效明确。
图1
根据2017年NCCN最新胸腺瘤和胸腺癌指南意见,目前胸腺肿瘤分为4期,手术仍然作为I、II、III期胸腺肿瘤的首选方法,早期胸腺瘤患者手术后5年生存率超过90%,对于术后病理证实为II期或III期病变者,术后应常规给予辅助放疗,以减少术后肿瘤复发概率。
由于异位胸腺的存在,胸腺瘤手术治疗原则除了切除肿瘤外,还需一并切除肿瘤周围的脂肪组织,而为了达到手术切除肿瘤及周围脂肪组织的彻底性,所以对于较大胸腺肿瘤手术往往采用后外侧切口或胸骨正中切开(如图2),该种手术方式创伤大,术后恢复较慢。近年随着微创时代到来,经一侧胸腔的3.0~6.0cm切口的胸腔镜手术广泛开展(图3),但存在较多的胸腺切除不彻底以及术后的慢性胸壁疼痛。随之一种更新的微创手术方式出现了-----经剑突下胸腔镜胸腺切除术,不仅可切除彻底,同时还能降低患者的创伤,无术后慢性疼痛,使患者达到快速康复。然而,国内开展经剑突下胸腔镜入路的医疗单位寥寥可数,温州市中心医院已经成为其中之一。我院胸外科在温州地区已率先开展该术式,下周又有两位该类病人预约手术。
图2
图3